今日の細胞診
※年齢:性別 50代 女性
※主訴 不正出血
※検体 子宮頚部スメア
1 類内膜腺癌(Endometrioid adenocarcinoma)
2 頚部腺癌(Uterine cervix adenocarcinoma)
3 上皮内癌(Carcinoma in situ)
4 扁平上皮癌(Squamous cell carcinoma)
5 高度異形成(Severe dysplasia)
pap ×10
pap ×40
解答は
↓
↓
↓
↓
↓
↓
↓
↓
↓
↓
↓
↓
いかがでしょうか?
《解説》
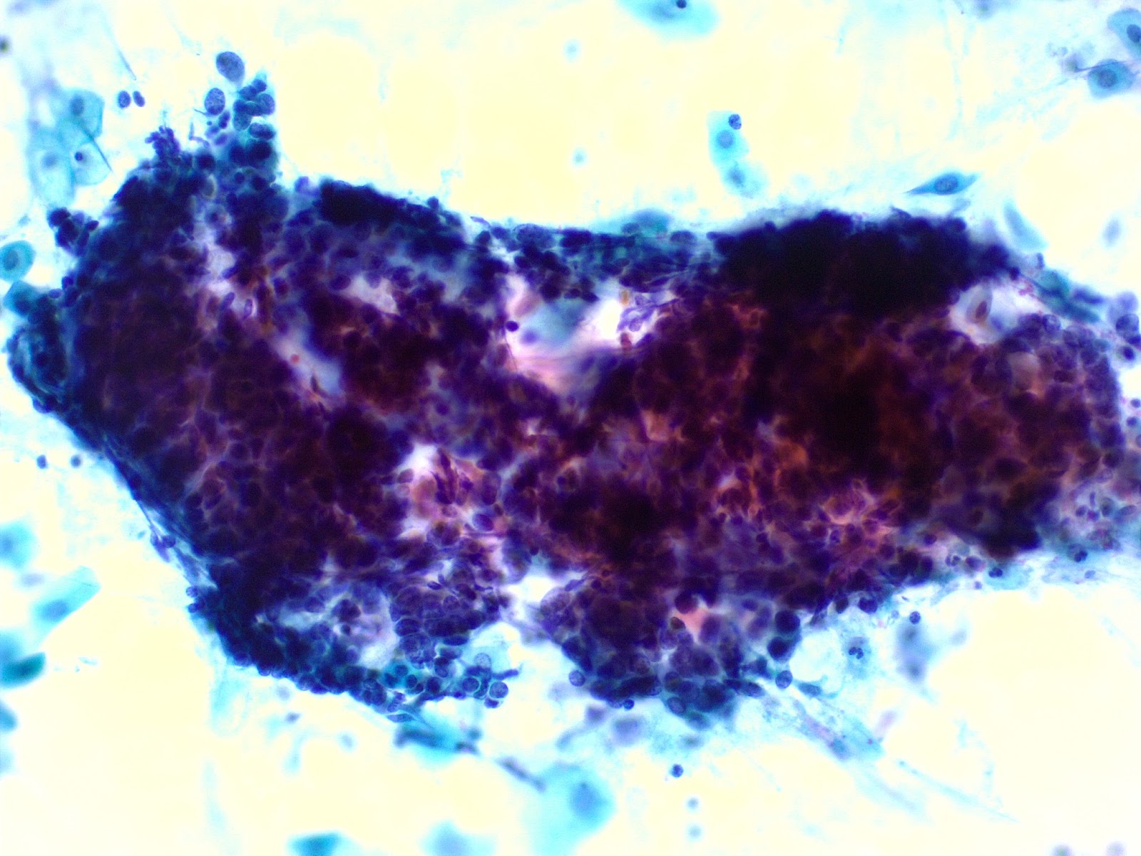
壊死性の背景に核濃染する扁平上皮系の集塊が見られます
核形不整や大小不同,クロマチン増加を認めます
壊死性の背景に核濃染する扁平上皮系の集塊が見られます
核形不整や大小不同,クロマチン増加を認めます
4 扁平上皮癌(Squamous cell carcinoma)
see you tomorrow (*^^)v


0 件のコメント:
コメントを投稿